基本信息 产品详情 公司简介 推荐产品
网站主页 化工产品目录 生物 细胞培养 细胞系 HBE135-E6E7 HBE135-E6E7(人支气管上皮细胞)YB-71848HC
  • HBE135-E6E7(人支气管上皮细胞)YB-71848HC
  • HBE135-E6E7(人支气管上皮细胞)YB-71848HC

1/2

HBE135-E6E7(人支气管上皮细胞)YB-71848HC

HBE135-E6E7
2250 1株 起订
上海 更新日期:2026-03-26

上海钰博生物科技有限公司

VIP1年
联系人:陈环环
电话:021-60514606拨打
手机:18321282235 拨打
邮箱:sale1@shybsw.net

产品详情:

中文名称:
HBE135-E6E7(人支气管上皮细胞)YB-71848HC
英文名称:
HBE135-E6E7
品牌:
YBio/钰博生物
产地:
中国/上海
保存条件:
常温
纯度规格:
99%
产品类别:
细胞系
种属:
组织:
肺;支气管
细胞系:
正常细胞
细胞形态:
上皮细胞样
生长状态:
贴壁生长
培养基:
RPMI1640 +10% fetal bovine serum
冻存条件:
无血清冻存液,液氮储存

HBE135-E6E7(人支气管上皮细胞)

 一、细胞基本属性
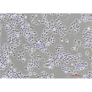
细胞名称HBE135-E6E7(人支气管上皮细胞)(STR鉴定正确)
细胞别称HBE 135-E6E7; HBE 135-E6/E7
种属来源
年龄性别54岁,男
组织来源肺;支气管
生长特性贴壁生长
细胞形态上皮细胞样
细胞代数10代以内 
背景简介HBE135-E6E7 细胞系源自正常支气管上皮细胞,取自一名因鳞状细胞癌而接受肺叶切除术的男性。来自第一代外植体的细胞被含有人乳头瘤病毒 (HPV) E6E7 基因的重组逆转录病毒 LXSN16E6E7 感染。在存在 0.4 mg/mL G418 的情况下选择细胞。
生物安全等级2
细胞规格1×106cells/T25培养瓶或者1mL冻存管包装
支原体检测
保藏机构ATCC
培养基角质细胞无血清培养基 (包含两个组份:基础培养基1瓶+生长因子1管)或者 KM (SCIENCELL CAT NO:2101) 
,添加对应因子,再添加0.005mg/ml胰岛素,500ng/ml氢化可的松,1% P/S
培养条件气相:95%空气+5%二氧化碳;温度:37℃
冻存条件无血清冻存液,液氮储存

二、细胞培养操作

1) 复苏细胞:以下细胞培养冻存处理仅供参考,具体操作步骤以随货产品说明书为主。

将含有1 mL细胞悬液的冻存管在 37℃水浴中迅速摇晃解冻,加4 mL培养基混合均匀。在1000 rpm条件下离心3 min,弃去上清液,加1-2 mL培养基后吹匀。然后将所有细胞悬液加入含适量培养基的培养瓶中培养过夜(或将细胞悬液加入10 cm皿中,加入约8 mL培养基,培养过夜)。第二天换液并检查细胞密度。

 

2) 细胞传代:如果细胞密度达 80%-90%,即可进行传代培养。

a、弃去培养上清,用不含钙、镁离子的PBS润洗细胞1-2次。          

b、加1 mL消化液(0.25%Trypsin-0.53mM EDTA)于培养瓶中,使消化液浸润所有细胞,弃去消化液,将培养瓶置于37℃培养箱中消化1 min,然后在显微镜下观察细胞消化情况,若细胞大部分变圆并脱落,迅速拿回操作台,轻敲几下培养瓶后加少量培养基终止消化。          

c、按6-8 mL/瓶补加培养基,轻轻打匀后装入无菌离心管中,1000 rpm离心4 min,弃去上清液,补加1-2 mL培养液后吹匀。          

d、将细胞悬液按1:2比例分到新的含8 mL培养基的新皿中或者瓶中,置于培养箱中培养。

 

3) 细胞冻存:待细胞生长状态良好时,可进行细胞冻存。下面 T25 瓶为例;

a、收集细胞及细胞培养液,装入无菌离心管中,1000 rpm条件下离心4 min,弃去上清液,用PBS清洗一遍,弃尽PBS,进行细胞计数。

b、根据细胞数量加入无血清细胞冻存液,使细胞密度5×106~1×107/mL,轻轻混匀,每支冻存管冻存1mL细胞悬液,注意冻存管做好标识。

c、将冻存管放入-80℃冰箱,24 h后转入液氮灌储存。记录冻存管位置以便下次拿取。

三、培养注意事项 

1. 收到细胞后首先观察细胞瓶是否完好,培养液是否有漏液、浑浊等现象,若有上述现象 发生请及时和我们联系。 

2. 仔细阅读细胞说明书,了解细胞相关信息,如细胞形态、所用培养基、血清比例、所需 细胞因子等,确保细胞培养条件一致,若由于培养条件不一致而导致细胞出现问题,责任由 客户自行承担。 

3. 用 75%酒精擦拭细胞瓶表面,显微镜下观察细胞状态。因运输问题,部分细胞由于温度 变化及剧烈碰撞死亡破碎形成碎片,是正常现象。观察好细胞状态后,75%酒精消毒瓶壁将 T25 瓶置于 37℃培养箱放置 2-4h。 

4. 贴壁细胞可以消化,悬浮细胞直接混匀收集细胞,900 rpm-1000 rpm 离心 3 min,弃上 清。加 5 mL PBS 重悬细胞,再 900 rpm-1000 rpm 离心 3 min,,用新鲜的完全培养基重悬 细胞,并接种到新的培养瓶或培养皿中,置于培养箱中进行培养。 

5. 请客户用相同条件的培养基用于细胞培养。 

6. 建议客户收到细胞后前 3 天各拍几张细胞照片,记录细胞状态,便于和我司技术部沟通 交流。由于运输的原因,个别敏感细胞会出现不稳定的情况,请及时和我们联系,告知细胞 的具体情况,以便我们的技术人员跟踪回访直至问题解决。 

7. 该细胞仅供科研使用。 

8. 备注:运输用的培养基 (灌液培养基) 不能再用来培养细胞,请换用按照说明书细胞培 养条件新配制的完全培养基来培养细胞。     收到细胞后第一次传代建议 1:2 传代 。 

9. 注意:  1:2 传代就是 1 个 T25 瓶传 2 个 T25 瓶或者 2 个 6cm 皿。不是 1 个 T25 瓶传 2 个10cm 皿。

本产品仅供科研使用.请勿用于医药,不能用于临床治疗诊断使用!以实际收货产品说明书为准,网站说明书仅供参考。

HBE135-E6E7;人支气管上皮细胞;

公司简介

上海钰博生物科技有限公司是2012年5月由“海归”组成的创业团队与两个专业投资机构发起成立的,以 开发生产科研试剂和特色检验产品为方向,经过两年多的努力,已经建立了免疫学和分子生物学的五个技术平台,开发了ELISA/ELISpot酶联免疫试剂盒、重组蛋白、荧光标记抗体、四聚体(Tetramer)特异性T细胞检测试剂盒、Aimplex流式高通量多因子检测、microRNA表达谱分析和功能研究等系列产品和服务,与国内外免疫学、干细胞、传染病和肿瘤研究及临床检验领域的科学家们建立了良好的合作关系,形成了一定的品牌影响力。钰博生物另建有七大技术服务平台(ELISA定制服务,免疫学检测服务、分子生物学技术服务、蛋白表达与纯化技术服务、抗体制备技术服务、细胞培养技术服务、整体实验课题服务。用专业的知识、专业的设备、专业的态度为客户提供一站式实验技术服务!

成立日期 (12年)
注册资本 200万人民币
员工人数 1-10人
年营业额 ¥ 100万-300万
经营模式 工厂
主营行业 生化试剂,抗体,蛋白组学,分子生物学,细胞生物学

HBE135-E6E7(人支气管上皮细胞)YB-71848HC相关厂家报价 更多

内容声明
拨打电话 立即询价