1-(3-氨基丙基)咪唑的合成与应用
发布日期:2025/10/24 10:26:05
概述
1-(3-氨基丙基)咪唑是一种分子式为C6H11N3的咪唑类衍生物,具有芳香性结构,常温下表现为无色至淡黄色液体,耐氧化、耐热、耐水解。关于该物质,其密度约为1.111 g/cm³,沸点约为287.65 ℃,闪点约为127.77 ℃。

合成方法
1-(3-氨基丙基)咪唑可以咪唑为起始原料制备,具体包括如下步骤:a,在反应釜中加入咪唑28-32重量份,,丙烯腈55-65重量份,乙酸乙酯0.9-1.1重量份,在密闭条件下迅速升温至42-44℃,不断搅拌22-28min;通入氮气降温至5℃,加入稀硫酸调节PH值至2.2-2.4,搅拌10-20min,析出结晶;b,将结晶用饱和食盐水洗涤,真空干燥,冷却至常温得到N-(2-氰基乙基)咪唑等步骤。该发明制备方法科学简单,严格控制配方比例,控制反应条件,原料易得,原料用量少,成本低,制备的1-(3-氨基丙基)咪唑纯度高,收率高,性能稳定,适宜工业化生产[1]。
应用
高分子材料技术领域公开了一种木质素/聚乙烯醇复合材料及其制备方法。该复合材料包括以下质量百分数的组分:聚乙烯醇70~99.4%;木质素0.5~30%;添加剂0.1~10%;添加剂包括3-氨基-1,2,4-三唑,4-氨基吡啶,1-(3-氨基丙基)咪唑,4-(2-乙胺基)苯-1,2-二酚,2-氨基-3-咪唑基丙酸,鞣酸,3,3,3',3'-四甲基-1,1-螺旋联吲哚-5,5',6,6'-四醇,氯化锌,醋酸锌,氯化铁,氯化钙,氯化铜,氧化铁,氯化钠中的至少一种。以上述原料制备得到的木质素/聚乙烯醇复合材料拉伸强度可达140MPa,断裂伸长率可高达800%[2]。
医药领域则涉及一种电荷翻转型中空介孔硅基药物载体系统及其制备方法,具体报道了一种以模板法制备的中空介孔硅为基体的药物载体体系。在基体表面修饰双硫键,然后装载模型药物阿霉素后,以聚天冬氨酸封堵其孔道,再以1-(3-氨基丙基)咪唑进行改性得到目标系统。该药物载体系统中性环境下带负电,可有效避免被正常细胞吞噬以促进其经充分循环后于肿瘤组织富集,在肿瘤组织的微酸性环境下,咪唑基充分电离,从而实现电荷翻转以促进载体更好地进入肿瘤细胞[3]。

传感器技术领域公开了一种1-(3-氨基丙基)咪唑修饰的二乙炔单体及其衍生物在制备乙醇传感器中的应用。具体采用1-(3-氨基丙基)咪唑修饰的二乙炔单体及衍生物,并将PCDAAID,PCDAMAID,PCDAACN,PCDAEA四种物质共同制备成纸基传感器,再采用纸基传感器进行水中乙醇含量,以及汽油中乙醇含量的分析,可以弥补现阶段检测酒精方案中的技术缺陷,满足便携性,稳定性,快速性的乙醇现场检测的需求[4]。
有关研究
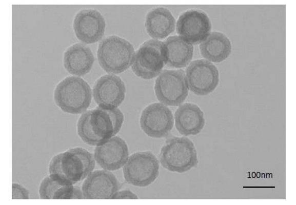
研究人员选择生物相容性良好的天然葡聚糖为原料,通过疏水分子和pH敏感分子的修饰,合成一种新型的聚合物,并用纳米沉淀法制备了具有pH敏感性纳米粒。研究的具体内容包括: 以天然高分子葡聚糖为底物,采用N,N'-二环己基碳酰亚胺和4-二甲氨基吡啶(DMAP)作为耦联剂,将5β-胆烷酸催化接枝到葡聚糖主链的–OH基团上,制备了具有两亲性的葡聚糖衍生物(DCA);其次,在DMAP作用下,琥珀酸酐与DCA进行酯化反应,得到琥珀酸化的DCA,并在1-(3-二甲氨基丙基)-3-乙基碳二亚胺盐酸盐和N-羟基琥珀酰亚胺的催化作用下,将1-(3-氨基丙基)咪唑作为pH敏感基团接枝于琥珀酸化的DCA上,制备了具有pH敏感性葡聚糖衍生物。最后通过纳米沉淀法将该衍生物自组装成了纳米粒。
采用场发射扫描式电子显微镜(FE-SEM),原子力显微镜(AFM)和马尔文粒径分析仪对1-(3-氨基丙基)咪唑接枝沉淀所得纳米颗粒进行粒径及粒径分布,形态表征;用紫外可见分光亮度计(UV-Vis)和精密酸碱滴定法分别测定了不同pH值下的紫外光透过率和纳米粒悬液的缓冲性。研究结果表明,用纳米沉淀法制备的pH敏感纳米粒的平均粒径小于150 nm,并有较均一的粒径分布和较好的球形度。当溶液pH高于7.4时,纳米粒的粒径,透过率和缓冲性几乎不变,表现出了良好的稳定性;而低于pH7.0时,其粒径,透过率和缓冲性急剧变化,粒子的聚集行为和缓冲作用明显[5]。
参考文献
[1]沈健.一种以咪唑合成1-(3-氨基丙基)咪唑的方法:CN201711108317.7[P].
[2]刘伟峰,邱学青,张晓,等.一种木质素/聚乙烯醇复合材料及其制备方法:CN201810788263.1[P].
[3]李草,徐翔宇,陈重银,等.一种电荷翻转型中空介孔硅基药物载体系统及其制备方法:CN201910869497.3[P].
[4]王东恩,闫昶翰,刘帅廷,等.1-(3-氨基丙基)咪唑修饰的二乙炔单体及其衍生物在制备乙醇传感器中的应用:CN202410096867.5[P].
[5]雷贺.1-(3-氨基丙基)咪唑修饰的pH敏感型纳米粒的制备及表征[D].天津大学,2012.DOI:10.7666/d.D322287.
欢迎您浏览更多关于1-(3-氨基丙基)咪唑的相关新闻资讯信息