基本信息 产品详情 公司简介 推荐产品
网站主页 化工产品目录 生物化工 抗体 ANTI-FOSL2 POLYCLONAL ANTIBODY Anti-FOSL2 Polyclonal Antibody
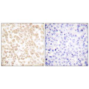
  • Anti-FOSL2 Polyclonal Antibody

Anti-FOSL2 Polyclonal Antibody

Anti-FOSL2 Polyclonal Antibody
1600.00 100ul 起订
960.00 50ul 起订
北京 更新日期:2026-03-17

北京索莱宝科技有限公司

VIP10年
联系人:索莱宝
电话:010-50973130拨打
手机:18101056239 拨打
邮箱:3193328036@qq.com

产品详情:

中文名称:
Anti-FOSL2 Polyclonal Antibody
英文名称:
Anti-FOSL2 Polyclonal Antibody
Gene ID:
2355
Public Immunogen Range:
Recombinant protein of human FOSL2
Subcellular Locations:
Nucleus
Swiss Prot:
P15408
保存:
Store at -20°C. Avoid freeze / thaw cycles.
别名:
FRA2
产品编号:
K003470P
储存液:
Buffer: PBS with 0.02% sodium azide, 50% glycerol, pH7.3.
纯化方法:
Affinity purification
蛋白分子量:
35kDa
交叉反应:
Human Mouse Rat
克隆类型:
Polyclonal Antibody
免疫原:
Recombinant protein of human FOSL2
宿主:
Rabbit
稀释比例:
WB 1:500-2000. IHC 1:100-200.
性状:
液体
亚型:
IgG
应用:
WB IHC
英文名称:
Anti-FOSL2 Polyclonal Antibody

背景资料

The Fos gene family consists of 4 members: FOS, FOSB, FOSL1, and FOSL2. These genes encode leucine zipper proteins that can dimerize with proteins of the JUN family, thereby forming the transcription factor complex AP-1. As such, the FOS proteins have been implicated as regulators of cell proliferation, differentiation, and transformation.
Anti-FOSL2 Polyclonal Antibody;抗体

公司简介

北京索莱宝科技有限公司是一家集研发、生产、销售、服务于一体的高科技生物企业。技术推广;技术转让;技术咨询;技术服务;生物试剂技术开发;销售生物试剂盒、实验室专用化学试剂、实验室专用设备、办公用品、化工产品(不含危险化学品)、计算机软件及辅助设备;货物进出口、技术进出口、代理进出口;委托加工生产生物制品、生化制品、化工产品(不含危险化学品);生产生物试剂盒;批发第一类医疗器械、第二类医疗器械;批发第三类医疗器械。

成立日期 (22年)
注册资本 4001万元
员工人数 100-500人
年营业额 ¥ 500万-1000万
经营模式 贸易,工厂,试剂
主营行业 分析化学,生物化工,化学试剂,医药原料,仪器耗材

Anti-FOSL2 Polyclonal Antibody相关厂家报价

内容声明
拨打电话 立即询价