基本信息 产品详情 公司简介 推荐产品
网站主页 FoxO4 (Acetyl Lys189)兔多抗 FoxO4 (Acetyl Lys189)兔多抗
  • FoxO4 (Acetyl Lys189) Rabbit Polyclonal Antibody | 兔多抗 | EnkiLife恩玑生命

FoxO4 (Acetyl Lys189) Rabbit Polyclonal Antibody | 兔多抗 | EnkiLife恩玑生命

FoxO4 (Acetyl Lys189) Rabbit Polyclonal Antibody
询价 1支 起订
湖北 更新日期:2026-01-30

武汉恩玑生命科技有限公司

VIP1年
联系人:Kiki
电话:027-87002838拨打
手机:13212728378 拨打
邮箱:order@enkilife.cn

产品详情:

中文名称:
FoxO4 (Acetyl Lys189)兔多抗
英文名称:
FoxO4 (Acetyl Lys189) Rabbit Polyclonal Antibody
品牌:
EnkiLife
产地:
中国
产品类别:
抗体
是否进口:
用途:
科研

产品概述

产品名称(Product Name)

FoxO4 (Acetyl Lys189) Rabbit Polyclonal Antibody

描述(Description)

Rabbit Polyclonal Antibody

宿主(Host)

Rabbit

应用(Application)

WB,ELISA

种属反应性(Reactivity)

Human,Rat,Mouse

 

产品性能

偶联物(Conjugation)

Unconjugated

修饰(Modification)

Acetyl Antibody

同种型(Isotype)

IgG

克隆(Clonality)

Polyclonal

形式(Form)

Liquid

存放说明(Storage)

Store at 4°C short term. Aliquot and store at -20°C long term. Avoid freeze/thaw cycles.

储存溶液(Buffer)

Liquid in PBS containing 50% glycerol, 0.5% BSA and 0.02% New type preservative N.

纯化方式(Purification)

Affinity purification

 

免疫原

基因名(Gene Name)

FOXO4 AFX AFX1 MLLT7

别名(Alternative Names)

Forkhead box protein O4 (Fork head domain transcription factor AFX1)

基因ID(Gene ID)

4303

蛋白ID(SwissProt ID)

P98177

 

产品应用

稀释比(Dilution Ratio)

WB 1:500-2000, ELISA 1:10000-20000

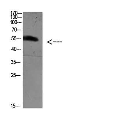
蛋白分子量(Molecular Weight)

55kDa

 

研究背景

This gene encodes a member of the O class of winged helix/forkhead transcription factor family. Proteins encoded by this class are regulated by factors involved in growth and differentiation indicating they play a role in these processes. A translocation involving this gene on chromosome X and the homolog of the Drosophila trithorax gene, encoding a DNA binding protein, located on chromosome 11 is associated with leukemia. Multiple transcript variants encoding different isoforms have been found for this gene. [provided by RefSeq, Jan 2010],disease:A chromosomal aberration involving FOXO4 is found in acute leukemias. Translocation t(X;11)(q13;q23) with MLL/HRX. The result is a rogue activator protein.,function:Transcription factor involved in the regulation of the insulin signaling pathway. Binds to insulin-response elements (IREs) and can activate transcription of IGFBP1. Down-regulates expression of HIF1A and suppresses hypoxia-induced transcriptional activation of HIF1A-modulated genes. Also involved in negative regulation of the cell cycle.,pharmaceutical:A constitutively active FOXO4 mutant where phosphorylation sites Thr-32, Ser-187 and Ser-262 have been mutated to alanine may have therapeutic potential in ERBB2/HER2-overexpressing cancers as it inhibits ERBB2-mediated cell survival, transformation and tumorigenicity.,PTM:Acetylation by CBP, which is induced by peroxidase stress, inhibits transcriptional activity. Deacetylation by SIRT1 is NAD-dependent and stimulates transcriptional activity.,PTM:Phosphorylation by PKB/AKT1 inhibits transcriptional activity and is responsible for cytoplasmic localization.,similarity:Contains 1 fork-head DNA-binding domain.,subcellular location:When phosphorylated, translocated from nucleus to cytoplasm. Dephosphorylation triggers nuclear translocation.,subunit:Interacts with CBP, MYOCD, SIRT1, SRF and YWHAZ. Acetylated by CBP and deacetylated by SIRT1. Binding of YWHAZ inhibits DNA-binding.,tissue specificity:Heart, brain, placenta, lung, liver, skeletal muscle, kidney and pancreas. Isoform zeta is most abundant in the liver, kidney, and pancreas.,

 

研究领域

FOXO4 AFX AFX1 MLLT7;FoxO4;(Acetyl;Lys189);Rabbit;Polyclonal;Antibody;一抗

公司简介

武汉恩玑生命科技有限公司(EnkiLife)是一家深耕生命科学,专注细胞生物学和免疫学科研试剂的研发、生产与销售的生物技术企业,在全球100多个国家和地区开展业务,致力于为科研工作者提供高质量的产品和卓越的客户服务,推动生命科学的发展。 EnkiLife的产品线涵盖细胞系、原代细胞、细胞培养基、血清、细胞检测试剂盒、重组靶点蛋白、细胞因子、重组抗体、ELISA试剂盒、生化试剂盒等,并提供技术服务与定制开发,覆盖了生命科学研究的各大关键领域,包括细胞生物学、癌症、免疫学、神经科学、心血管疾病、干细胞、表观遗传学、内分泌、蛋白质组学、代谢组学等,全方位满足您的实验需求,让您享受科研的乐趣! 公司现已建立四大技术平台: EnCyto?细胞培养及检测平台:拥有细胞系库(500+)、原代细胞库(500+)、基础培养基和完全培养基(1200+) EnkiPro?重组蛋白平台:现货产品2000+,可提供定制化表达服务 EnAb?重组抗体平台:重组兔单抗(3000+),可提供定制化和标记服务 EnKits?试剂盒开发平台:可提供优质的ELISA试剂盒、配套试剂、抗体对、生化试剂盒等相关产品 EnkiLife在生产管理方面引入ISO9001质量管理体系和信息化、自动化的管理工具,拥有高效稳定的交付能力,与全球知名品牌建立了紧密的合作。 EnkiLife始终坚持以技术创新为驱动,以匠心铸就品质,以品质服务客户。 我们期待与更多的全球科研工作者和企业携手合作,共同推动生命科学领域的进步与发展。

成立日期 (2年)
注册资本 271万人民币
员工人数 10-50人
年营业额 ¥ 100万-300万
经营模式 工厂,试剂,定制,服务
主营行业 生化试剂,抗体,细胞培养,癌症研究,细胞生物学

FoxO4 (Acetyl Lys189)兔多抗相关厂家报价

  • FOXO4 DRI
  • FOXO4 DRI
  • 南京莱昂生物科技有限公司 VIP
  • 2026-02-24
  • 询价
内容声明
拨打电话 立即询价