基本信息 产品详情 公司简介 推荐产品
网站主页 PTEN(Phospho Ser380/T382/T383) Rabbit Polyclonal Antibody PTEN (phospho Ser380/T382/T383)兔多抗
  • PTEN (phospho Ser380/T382/T383) Rabbit Polyclonal Antibody | 兔多抗 | EnkiLife恩玑生命
  • PTEN (phospho Ser380/T382/T383) Rabbit Polyclonal Antibody | 兔多抗 | EnkiLife恩玑生命

1/2

PTEN (phospho Ser380/T382/T383) Rabbit Polyclonal Antibody | 兔多抗 | EnkiLife恩玑生命

PTEN (phospho Ser380/T382/T383) Rabbit Polyclonal Antibody
询价 1支 起订
湖北 更新日期:2025-11-13

武汉恩玑生命科技有限公司

VIP1年
联系人:吴经理
手机:18755910559 拨打
邮箱:order@enkilife.cn

产品详情:

中文名称:
PTEN (phospho Ser380/T382/T383)兔多抗
英文名称:
PTEN (phospho Ser380/T382/T383) Rabbit Polyclonal Antibody
品牌:
EnkiLife
产地:
中国
产品类别:
抗体
是否进口:
用途:
科研

产品概述

产品名称(Product Name)

PTEN (phospho Ser380/T382/T383) Rabbit Polyclonal Antibody

描述(Description)

Rabbit Polyclonal Antibody

宿主(Host)

Rabbit

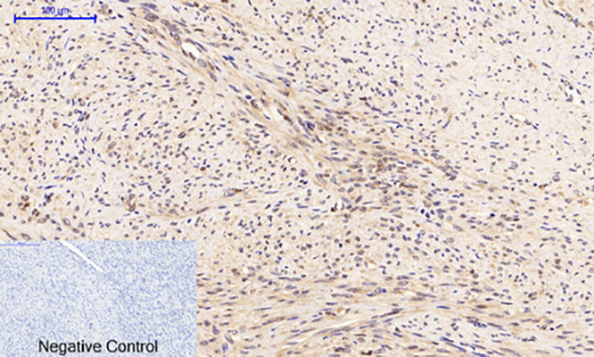
应用(Application)

WB,IHC-P,IF-P,IF-F,ICC/IF,ELISA

种属反应性(Reactivity)

Human,Mouse,Rat

 

产品性能

偶联物(Conjugation)

Unconjugated

修饰(Modification)

Phospho Antibody

同种型(Isotype)

IgG

克隆(Clonality)

Polyclonal

形式(Form)

Liquid

存放说明(Storage)

Store at 4°C short term. Aliquot and store at -20°C long term. Avoid freeze/thaw cycles.

储存溶液(Buffer)

Liquid in PBS containing 50% glycerol, 0.5% BSA and 0.02% New type preservative N.

纯化方式(Purification)

Affinity purification

 

免疫原

基因名(Gene Name)

PTEN

别名(Alternative Names)

PTEN; MMAC1; TEP1; Phosphatidylinositol 3; 4,5-trisphosphate 3-phosphatase and dual-specificity protein phosphatase PTEN; Mutated in multiple advanced cancers 1; Phosphatase and tensin homolog

基因ID(Gene ID)

5728

蛋白ID(SwissProt ID)

P60484

 

产品应用

稀释比(Dilution Ratio)

WB 1:500-1:2000, IHC-P 1:100-1:300, ELISA 1:20000, IF-P/IF-F/ICC/IF 1:50-200

蛋白分子量(Molecular Weight)

53kDa

 

研究背景

This gene was identified as a tumor suppressor that is mutated in a large number of cancers at high frequency. The protein encoded by this gene is a phosphatidylinositol-3,4,5-trisphosphate 3-phosphatase. It contains a tensin like domain as well as a catalytic domain similar to that of the dual specificity protein tyrosine phosphatases. Unlike most of the protein tyrosine phosphatases, this protein preferentially dephosphorylates phosphoinositide substrates. It negatively regulates intracellular levels of phosphatidylinositol-3,4,5-trisphosphate in cells and functions as a tumor suppressor by negatively regulating AKT/PKB signaling pathway. The use of a non-canonical (CUG) upstream initiation site produces a longer isoform that initiates translation with a leucine, and is thought to be preferentially associated with the mitochondrial inner membrane. This longer isoform may help regulate enercatalytic activity:A phosphoprotein + H(2)O = a protein + phosphate.,catalytic activity:Phosphatidylinositol 3,4,5-trisphosphate + H(2)O = phosphatidylinositol 4,5-bisphosphate + phosphate.,catalytic activity:Protein tyrosine phosphate + H(2)O = protein tyrosine + phosphate.,cofactor:Magnesium.,disease:A microdeletion of chromosome 10q23 involving PTEN and BMPR1A is a cause of chromosome 10q23 deletion syndrome [MIM:612242]. This syndrome shows overlapping features of the following three disorders: Bannayan-Zonana syndrome, Cowden disease and juvenile polyposis syndrome.,disease:Defects in PTEN are a cause of Bannayan-Zonana syndrome (BZS) [MIM:153480]; also known as Ruvalcaba-Riley-Smith or Bannayan-Riley-Ruvalcaba syndrome (BRRS). In BZS there seems not to be an increased risk of malignancy. It has a partial clinical overlap with CD. BZS is characterized by the classic triad of macrocephaly, lipomatosis and pigmented macules of the gland penis.,disease:Defects in PTEN are a cause of Cowden disease (CD) [MIM:158350]; also known as Cowden syndrome (CS). CD is an autosomal dominant cancer predisposition syndrome associated with elevated risk for tumors of the breast, thyroid and skin. The predominant phenotype for CD is multiple hamartoma syndrome, in many organ systems including the breast (70% of CD patients), thyroid (40-60%), skin, CNS (40%), gastrointestinal tract. Affected individuals are at an increased risk of both breast and thyroid cancers. Trichilemmomas (benign tumors of the hair follicle infundibulum), and mucocutaneous papillomatosis (99%) are hallmarks of CD.,disease:Defects in PTEN are a cause of macrocephaly/autism syndrome [MIM:605309]. Patients have autism spectrum disorders and macrocephaly, with head circumferences ranging from +2.5 to +8 SD for age and sex (average head circumference +4.0 SD).,disease:Defects in PTEN are a cause of oligodendroglioma [MIM:137800]; also called oligodendroblastoma or familial glioma of brain. Oligodendroglioma is a usually benign neoplasm derived from and composed of oligodendrogliocytes in varying stages of differentiation. The majority are seen in adults in the white matter of the brain.,disease:Defects in PTEN are a cause of Proteus syndrome [MIM:176920]. Proteus syndrome is a hamartomatous disorder characterized by overgrowth of multiple tissues, connective tissue and epidermal naevi, and vascular malformations. These presentations are usually apparent at birth or soon after and continue to develop as the patient ages. It is named after the Greek god Proteus who, legend has it, could change his shape at will to avoid capture. Tumors, mostly benign but some malignant, have also been reported in Proteus syndrome, generally presenting by the age of 20 years and including papillary adenocarcinoma of the testis, meningioma, and cystadenoma of the ovaries.,disease:Defects in PTEN are a cause of squamous cell carcinoma of the head and neck (HNSCC) [MIM:275355].,disease:Defects in PTEN are a cause of susceptibility to endometrial cancer [MIM:608089].,disease:Defects in PTEN are a cause of VACTERL association with hydrocephalus [MIM:276950]; which includes also VATER association with hydrocephalus. VACTERL is an acronym for vertebral anomalies, anal atresia, congenital cardiac disease, tracheoesophageal fistula, renal anomalies, radial dysplasia, and other limb defects.,disease:Defects in PTEN are involved in prostate cancer [MIM:176807].,disease:Defects in PTEN are the cause of Lhermitte-Duclos disease (LDD) [MIM:158350]; also known as cerebelloparenchymal disorder VI. LDD is characterized by dysplastic gangliocytoma of the cerebellum which often results in cerebellar signs and seizures. LDD and CD seem to be the same entity, and are considered as hamartoma-neoplasia syndromes.,disease:Mutations of PTEN are found in a large number of cancers.,domain:The C2 domain binds phospholipid membranes in vitro in a Ca(2+)-independent manner; this binding is important for its tumor suppressor function.,function:Tumor suppressor. Acts as a dual-specificity protein phosphatase, dephosphorylating tyrosine-, serine- and threonine-phosphorylated proteins. Also acts as a lipid phosphatase, removing the phosphate in the D3 position of the inositol ring from phosphatidylinositol 3,4,5-trisphosphate, phosphatidylinositol 3,4-diphosphate, phosphatidylinositol 3-phosphate and inositol 1,3,4,5-tetrakisphosphate with order of substrate preference in vitro PtdIns(3,4,5)P3 > PtdIns(3,4)P2 > PtdIns3P > Ins(1,3,4,5)P4. The lipid phosphatase activity is critical for its tumor suppressor function. Antagonizes the PI3K-AKT/PKB signaling pathway by dephosphorylating phosphoinositides and thereby modulating cell cycle progression and cell survival. The unphosphorylated form cooperates with AIP1 to suppress AKT1 activation. Dephosphorylates tyrosine-phosphorylated focal adhesion kinase and inhibits cell migration and integrin-mediated cell spreading and focal adhesion formation. May be a negative regulator of insulin signaling and glucose metabolism in adipose tissue.,induction:Down-regulated by transforming growth factor beta (TGF-beta).,PTM:Phosphorylated in vitro by MAST1, MAST2 and MAST3. Phosphorylation results in an inhibited activity towards PIP3. Phosphorylation can both inhibit or promote PDZ-binding.,similarity:Contains 1 C2 tensin-type domain.,similarity:Contains 1 phosphatase tensin-type domain.,subunit:Monomer. The unphosphorylated form interacts with the second PDZ domain of AIP1 and with DLG1 and MAST2 in vitro. Interacts with MAGI2, MAGI3, MAST1 and MAST3, but neither with MAST4 nor with DLG5. Interaction with MAGI2 increases protein stability.,tissue specificity:Expressed at a relatively high level in all adult tissues, including heart, brain, placenta, lung, liver, muscle, kidney and pancreas.,

 

研究领域

Insulin Receptor; Regulation_Microtubule; B Cell Receptor; mTOR; PI3K/Akt; Protein_Acetylation

PTEN;PTEN;(phospho;Ser380/T382/T383);Rabbit;Polyclonal;Antibody;一抗

公司简介

武汉恩玑生命科技有限公司(EnkiLife)是一家深耕生命科学,专注细胞生物学和免疫学科研试剂的研发、生产与销售的生物技术企业,在全球100多个国家和地区开展业务,致力于为科研工作者提供高质量的产品和卓越的客户服务,推动生命科学的发展。 EnkiLife的产品线涵盖细胞系、原代细胞、细胞培养基、血清、细胞检测试剂盒、重组靶点蛋白、细胞因子、重组抗体、ELISA试剂盒、生化试剂盒等,并提供技术服务与定制开发,覆盖了生命科学研究的各大关键领域,包括细胞生物学、癌症、免疫学、神经科学、心血管疾病、干细胞、表观遗传学、内分泌、蛋白质组学、代谢组学等,全方位满足您的实验需求,让您享受科研的乐趣! 公司现已建立四大技术平台: EnCyto?细胞培养及检测平台:拥有细胞系库(500+)、原代细胞库(500+)、基础培养基和完全培养基(1200+) EnkiPro?重组蛋白平台:现货产品2000+,可提供定制化表达服务 EnAb?重组抗体平台:重组兔单抗(3000+),可提供定制化和标记服务 EnKits?试剂盒开发平台:可提供优质的ELISA试剂盒、配套试剂、抗体对、生化试剂盒等相关产品 EnkiLife在生产管理方面引入ISO9001质量管理体系和信息化、自动化的管理工具,拥有高效稳定的交付能力,与全球知名品牌建立了紧密的合作。 EnkiLife始终坚持以技术创新为驱动,以匠心铸就品质,以品质服务客户。 我们期待与更多的全球科研工作者和企业携手合作,共同推动生命科学领域的进步与发展。

成立日期 (2年)
注册资本 271万人民币
员工人数 10-50人
年营业额 ¥ 100万-300万
经营模式 工厂,试剂,定制,服务
主营行业 生化试剂,抗体,细胞培养,癌症研究,细胞生物学

PTEN (phospho Ser380/T382/T383)兔多抗相关厂家报价

内容声明
拨打电话 立即询价