基本信息 产品详情 公司简介 推荐产品
网站主页 NFkB p65(5G6)鼠单抗 NFkB p65(5G6)鼠单抗
  • NFkB p65(5G6)Mouse Monoclonal Antibody | 鼠单抗 | EnkiLife恩玑生命
  • NFkB p65(5G6)Mouse Monoclonal Antibody | 鼠单抗 | EnkiLife恩玑生命
  • NFkB p65(5G6)Mouse Monoclonal Antibody | 鼠单抗 | EnkiLife恩玑生命

1/3

NFkB p65(5G6)Mouse Monoclonal Antibody | 鼠单抗 | EnkiLife恩玑生命

NFkB p65(5G6)Mouse Monoclonal Antibody
询价 1支 起订
湖北 更新日期:2026-01-30

武汉恩玑生命科技有限公司

VIP1年
联系人:Kiki
电话:027-87002838拨打
手机:13212728378 拨打
邮箱:order@enkilife.cn

产品详情:

中文名称:
NFkB p65(5G6)鼠单抗
英文名称:
NFkB p65(5G6)Mouse Monoclonal Antibody
品牌:
EnkiLife
产地:
中国
产品类别:
抗体
是否进口:
用途:
科研

产品概述

产品名称(Product Name)

NFkB p65(5G6)Mouse Monoclonal Antibody

描述(Description)

Mouse Monoclonal Antibody

宿主(Host)

Mouse

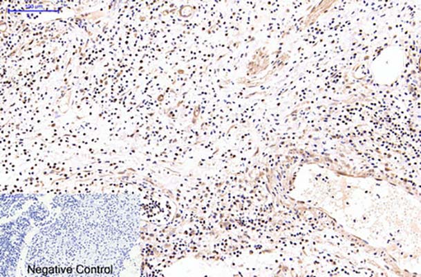
应用(Application)

WB,IHC-P,IF-P,IF-F,ICC/IF,IP

种属反应性(Reactivity)

Human,Mouse,Rat

 

产品性能

偶联物(Conjugation)

Unconjugated

修饰(Modification)

Unmodified

同种型(Isotype)

IgG

克隆(Clonality)

Monoclonal

形式(Form)

Liquid

存放说明(Storage)

Store at 4°C short term. Aliquot and store at -20°C long term. Avoid freeze/thaw cycles.

储存溶液(Buffer)

PBS, pH 7.4, containing 0.5%BSA, 0.02% New type preservative N as Preservative and 50% Glycerol.

纯化方式(Purification)

Affinity purification

 

免疫原

基因名(Gene Name)

RELA

别名(Alternative Names)

RELA; NFKB3; Transcription factor p65; Nuclear factor NF-kappa-B p65 subunit; Nuclear factor of kappa light polypeptide gene enhancer in B-cells 3

基因ID(Gene ID)

5970

蛋白ID(SwissProt ID)

Q04206

 

产品应用

稀释比(Dilution Ratio)

WB 1:1000-3000, IP 1:200, IF-P/IF-F/ICC/IF 1:200, IHC-P 1:50-300

蛋白分子量(Molecular Weight)

65kDa

 

研究背景

NF-kappa-B is a ubiquitous transcription factor involved in several biological processes. It is held in the cytoplasm in an inactive state by specific inhibitors. Upon degradation of the inhibitor, NF-kappa-B moves to the nucleus and activates transcription of specific genes. NF-kappa-B is composed of NFKB1 or NFKB2 bound to either REL, RELA, or RELB. The most abundant form of NF-kappa-B is NFKB1 complexed with the product of this gene, RELA. Four transcript variants encoding different isoforms have been found for this gene. [provided by RefSeq, Sep 2011],function:NF-kappa-B is a pleiotropic transcription factor which is present in almost all cell types and is involved in many biological processed such as inflammation, immunity, differentiation, cell growth, tumorigenesis and apoptosis. NF-kappa-B is a homo- or heterodimeric complex formed by the Rel-like domain-containing proteins RELA/p65, RELB, NFKB1/p105, NFKB1/p50, REL and NFKB2/p52 and the heterodimeric p65-p50 complex appears to be most abundant one. The dimers bind at kappa-B sites in the DNA of their target genes and the individual dimers have distinct preferences for different kappa-B sites that they can bind with distinguishable affinity and specificity. Different dimer combinations act as transcriptional activators or repressors, respectively. NF-kappa-B is controlled by various mechanisms of post-translational modification and subcellular compartmentalization as well as by interactions with other cofactors or corepressors. NF-kappa-B complexes are held in the cytoplasm in an inactive state complexed with members of the NF-kappa-B inhibitor (I-kappa-B) family. In a conventional activation pathway, I-kappa-B is phosphorylated by I-kappa-B kinases (IKKs) in response to different activators, subsequently degraded thus liberating the active NF-kappa-B complex which translocates to the nucleus. NF-kappa-B heterodimeric p65-p50 and p65-c-Rel complexes are transcriptional activators. The NF-kappa-B p65-p65 complex appears to be involved in invasin-mediated activation of IL-8 expression. The inhibitory effect of I-kappa-B upon NF-kappa-B the cytoplasm is exerted primarily through the interaction with p65. p65 shows a weak DNA-binding site which could contribute directly to DNA binding in the NF-kappa-B complex.,PTM:Phosphorylation on 'Ser-536' stimulates acetylation on 'Lys-310' and interaction with CBP; the phosphorylated and acetylated forms show enhanced transcriptional activity.,PTM:Reversibly acetylated; the acetylation seems to be mediated by CBP, the deacetylation by HDAC3. Acetylation at 'Lys-122' enhances DNA binding and impairs association with NFKBIA. Acetylation at 'Lys-310' is required for full transcriptional activity in the absence of effects on DNA binding and NFKBIA association. Acetylation can also lower DNA-binding and results in nuclear export.,PTM:Ubiquitinated, leading to its proteosomal degradation. Degradation is required for termination of NF-kappa-B response.,similarity:Contains 1 RHD (Rel-like) domain.,subcellular location:Nuclear, but also found in the cytoplasm in an inactive form complexed to an inhibitor (I-kappa-B).,subunit:Component of the NF-kappa-B p65-p50 complex. Component of the NF-kappa-B p65-c-Rel complex. Homodimer; component of the NF-kappa-B p65-p65 complex. Component of the NF-kappa-B p65-p52 complex. May interact with ETHE1. Binds AES and TLE1. Interacts with TP53BP2. Binds to and is phosphorylated by the activated form of either RPS6KA4 or RPS6KA5. Interacts with ING4 and this interaction may be indirect. Interacts with CARM1, USP48 and UNC5CL. Interacts with IRAK1BP1 (By similarity).Interacts with NFKBID (By similarity). Interacts with NFKBIA. Interacts with GSK3B. Interacts with NFKBIB (By similarity). Interacts with NFKBIE. Interacts with NFKBIZ (By similarity). Part of a 70-90 kDa complex at least consisting of CHUK, IKBKB, NFKBIA, RELA, IKBKAP and MAP3K14. Interacts with HDAC3; HDAC3 mediates the deacetylation of RELA. Interacts with HDAC1; the interaction requires non-phosphorylated RELA. Interacts with CBP; the interaction requires phosphorylated RELA. Interacts (phosphorylated at 'Thr-254') with PIN1; the interaction inhibits p65 binding to NFKBIA. Interacts with SOCS1. Interacts with UXT. Interacts with MTDH. Interacts with human respiratory syncytial virus (HRSV) protein M2-1.,

 

研究领域

MAPK_ERK_Growth;MAPK_G_Protein;Chemokine;Apoptosis_Inhibition;Apoptosis_Mitochondrial;Apoptosis_Overview;Toll_Like;NOD-like receptor;RIG-I-like receptor;Cytosolic DNA-sensing pathway;T_Cell_Receptor;B_Cell_Antigen;Neurotrophin;Adipocytokine;Epithelial cell signaling in Helicobacter pylori infection;Pathways in cancer;Pancreatic cancer;Prostate cancer;Chronic myeloid leukemia;Acute myeloid leukemia;Small cell lung cancer;

RELA;NFkB;p65(5G6)Mouse;Monoclonal;Antibody;一抗

公司简介

武汉恩玑生命科技有限公司(EnkiLife)是一家深耕生命科学,专注细胞生物学和免疫学科研试剂的研发、生产与销售的生物技术企业,在全球100多个国家和地区开展业务,致力于为科研工作者提供高质量的产品和卓越的客户服务,推动生命科学的发展。 EnkiLife的产品线涵盖细胞系、原代细胞、细胞培养基、血清、细胞检测试剂盒、重组靶点蛋白、细胞因子、重组抗体、ELISA试剂盒、生化试剂盒等,并提供技术服务与定制开发,覆盖了生命科学研究的各大关键领域,包括细胞生物学、癌症、免疫学、神经科学、心血管疾病、干细胞、表观遗传学、内分泌、蛋白质组学、代谢组学等,全方位满足您的实验需求,让您享受科研的乐趣! 公司现已建立四大技术平台: EnCyto?细胞培养及检测平台:拥有细胞系库(500+)、原代细胞库(500+)、基础培养基和完全培养基(1200+) EnkiPro?重组蛋白平台:现货产品2000+,可提供定制化表达服务 EnAb?重组抗体平台:重组兔单抗(3000+),可提供定制化和标记服务 EnKits?试剂盒开发平台:可提供优质的ELISA试剂盒、配套试剂、抗体对、生化试剂盒等相关产品 EnkiLife在生产管理方面引入ISO9001质量管理体系和信息化、自动化的管理工具,拥有高效稳定的交付能力,与全球知名品牌建立了紧密的合作。 EnkiLife始终坚持以技术创新为驱动,以匠心铸就品质,以品质服务客户。 我们期待与更多的全球科研工作者和企业携手合作,共同推动生命科学领域的进步与发展。

成立日期 (2年)
注册资本 271万人民币
员工人数 10-50人
年营业额 ¥ 100万-300万
经营模式 工厂,试剂,定制,服务
主营行业 生化试剂,抗体,细胞培养,癌症研究,细胞生物学

NFkB p65(5G6)鼠单抗相关厂家报价

内容声明
拨打电话 立即询价