基本信息 产品详情 公司简介 推荐产品
网站主页 CD45 (D3F8Q) Rabbit mAb CD45 (D3F8Q) 兔单克隆抗体
  • CD45 (D3F8Q) 兔单克隆抗体
  • CD45 (D3F8Q) 兔单克隆抗体
  • CD45 (D3F8Q) 兔单克隆抗体

1/3

CD45 (D3F8Q) 兔单克隆抗体 新品

CD45 (D3F8Q) Rabbit mAb
询价 100ul 起订
上海 更新日期:2026-04-01

上海优宁维生物科技股份有限公司

VIP5年
联系人:
电话:15921930842拨打
手机:15921930842 拨打
邮箱:yh-wang@univ-bio.com

产品详情:

中文名称:
CD45 (D3F8Q) 兔单克隆抗体
英文名称:
CD45 (D3F8Q) Rabbit mAb
品牌:
CST
产品类别:
抗体
货号:
70257T

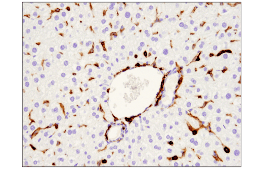
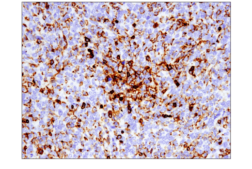
CD45 (D3F8Q) 兔单克隆抗体产品描述

一、产品概述

CD45 (D3F8Q) 兔单克隆抗体是一种特异性针对小鼠 CD45 蛋白的抗体,通过免疫动物并利用与小鼠 CD45 蛋白 Ala1258 周围残基对应的合成肽制备而成。该抗体未经荧光素标记(Unconjugated),具有高度特异性和灵敏度,适用于多种免疫学检测方法,为研究 CD45 蛋白在免疫系统中的作用提供了有力工具。

二、产品特点

  • 宿主与纯化 :来源于兔,以合成肽为抗原制备的单克隆抗体,纯度高,特异性强。

  • 稀释比例 :在不同应用场景中具有优化的稀释比例,免疫沉淀(Immunoprecipitation)为 1:50,IHC Leica Bond 为 1:100 - 1:400,免疫组织化学(石蜡切片)为 1:100 - 1:400,免疫荧光(冰冻切片、免疫细胞化学)为 1:50 - 1:200。

  • 同种型与分子量 :抗体同种型为兔 IgG,分子量范围在 200-250 kDa,易于检测和应用。

  • 特异性与灵敏度 :能够识别内源性水平的总 CD45 蛋白,在小鼠肾脏的免疫组织化学检测中观察到非特异性染色,但对 CD45.1 和 CD45.2 等位基因均有预测反应性,具有较高的灵敏度。

三、应用范围

该抗体广泛应用于多个研究领域,包括癌症、纤维化、免疫学和肿瘤学、神经科学等,适用于免疫沉淀、免疫组织化学(Leica Bond、石蜡切片)、免疫荧光(冰冻切片、免疫细胞化学)等多种实验技术,为深入研究 CD45 蛋白在不同生物学过程中的功能提供了支持。

四、背景信息

CD45 蛋白是一种Ⅰ型跨膜蛋白,属于蛋白酪氨酸磷酸酶(PTP)受体家族,由细胞内两个酪氨酸磷酸酶域和一个通过选择性剪接产生的可变细胞外域组成。其催化活性依赖于第一个磷酸酶域(D1),而第二个磷酸酶域(D2)可能通过与 D1 互作稳定其活性,或招募 / 结合底物。CD45 通过与抗原受体复合体蛋白直接互作或激活 Src 家族激酶,参与调控 T 和 B 细胞抗原受体信号传导。具体而言,CD45 可以去磷酸化 Src 家族激酶 Lck 和 Fyn 的保守负调节羧基末端酪氨酸残基,从而激活激酶活性,同时也可能通过去磷酸化其正调节自磷酸化位点来抑制 Lck 和 Fyn 的活性,表现出正负调节的双重作用,具体取决于刺激信号和细胞类型。人类白细胞(如淋巴细胞、嗜酸性粒细胞、单核细胞、嗜碱性粒细胞和中性粒细胞)表达 CD45,而红细胞和血小板则不表达。

五、制备与储存

该抗体提供于 10 mM sodium HEPES(pH 7.5)、150 mM NaCl、100 µg/ml BSA、50% 甘油和不超过 0.02% 的叠氮化钠溶液中,应储存于 - 20°C,且不要分装抗体。如需无载体(不含 BSA 和叠氮化钠)的版本,可参考产品 #98819。

六、产品用途

CD45 (D3F8Q) 兔单克隆抗体主要用于科研实验,可用于检测和分析生物样本中 CD45 蛋白的表达水平和分布情况,帮助研究人员深入了解 CD45 在免疫系统发育、细胞信号传导、疾病发生发展等过程中的作用机制,为相关领域的研究提供重要数据支持。同时,该抗体也可作为工具用于开发针对 CD45 的新型诊断方法和治疗策略。


CST;抗体;兔单克隆;CD45 ;D3F8Q;

公司简介

上海优宁维生物科技股份有限公司(简称:优宁维,股票代码:301166)自2004年成立以来一直专注于抗体及相关产品,是国内专业、全面的抗体供应商和抗体专家,十多年来,正努力发展成为生命科学一站式供应商。公司总部位于上海,全国设有26个办事处,10个境内销售子公司。 我们长期聚焦于生命科学、生物医药、医疗诊断、分析检测等领域,公司整合了国内外50多家行业知名品牌,提供800多万种以抗体为核心的生命科学试剂、耗材、仪器、软件、定制、实验室服务、供应链服务等,形成了以第三方品牌产品为主、自主品牌产品为辅的全面供应体系,为更多的生命科学科研工作者提供专业、全面、安全、快捷的产品和服务。产品覆盖基因、蛋白、细胞、组织、动物等水平的各种研究。 公司2018年建立了南京研发中心,2021年筹建了杭州研发中心,并于2021年在南京投资建设GMP级生产中心,满足更多工业级客户的生命科学试剂需求。 公司秉承 向正 · 向善 · 向上 的价值观,以助力生命科学发展和创新为使命,在世界知名生物制品供应商为愿景下,砥砺前行。

成立日期 (22年)
注册资本 6500.000000万人民币
员工人数 100-500人
年营业额 ¥ 1亿以上
经营模式 试剂,服务,试剂,服务
主营行业 生化试剂,生化试剂,抗体,抗体,蛋白组学,蛋白组学,分子生物学,分子生物学,免疫安全,免疫安全

CD45 (D3F8Q) 兔单克隆抗体相关厂家报价

内容声明
拨打电话 立即询价