基本信息
产品名称:TIMP2 Mouse mAb
规格或纯度:ExactAb™, Validated, Carrier Free, 0.5 mg/mL
应用:WB, IF/ICC, Flow Cytometry, IHC
特异性:TIMP2
种属反应性:人(Human), 小鼠(Mouse), 大鼠(Rat)
免疫原:Recombinant protein of human TIMP2 expressed in E.coli (AA 1-220).
阳性对照:WB: HeLa, A431, HUVEC and A549 cell lysates. IHC: Human kidney tissue. ICC/IF: A549 cells. Flow: K562 cells.
偶联:Unconjugated
产品属性
克隆类型:单克隆抗体
克隆号:1554CT494.262.47
Format:Whole IgG
亚型:Mouse IgG1
轻链亚型:kappa
SDS-PAGE:150 kDa
纯化方法:Protein G purified
物理外观:Liquid
储存缓冲液:10mM PBS, 0.09% Sodium azide, pH7.4.
防腐剂:0.09% Sodium azide
浓度:0.5 mg/mL
储存温度:-20°C储存,避免反复冻融
运输条件:超低温运输
稳定性与储存:4℃ 短期储存(1-2 周)。-20℃长期保存(24 个月)。收货后建议分装。避免冷冻/解冻循环。
功能和特点
宿主种属:小鼠(Mouse)
种属反应性:人(Human), 小鼠(Mouse), 大鼠(Rat)
克隆号:1554CT494.262.47
偶联:Unconjugated
图片

>
Western Blot: TIMP2 Mouse mAb (Ab131343)
TIMP2 Mouse mAb (Ab131343) - Western Blot
All lanes: TIMP2 Mouse mAb (Ab131343) at 1/2000 dilution
Samples: Lysates at 20 µg per lane
Secondary: Goat Anti-Mouse IgG H&L (HRP) (Ab138040) at 1/20000 dilution
Predicted band size: 24 kDa
Observed band size: 21 kDa
Exposure time: 120.0 s

>
IF/ICC: TIMP2 Mouse mAb (Ab131343)
TIMP2 Mouse mAb (Ab131343) - IF/ICC
Immunofluorescent analysis of 4% paraformaldehyde-fixed, 0.1% Triton X-100 permeabilized A549 (human lung adenocarcinoma epithelial cell line) cells labeling TIMP2 with TIMP2 Mouse mAb (Ab131343) at 1/25 dilution, followed by Dylight® 488-conjugated goat anti-mouse IgG secondary antibody at 1/200 dilution (green). Immunofluorescence image showing cytoplasm staining on A549 cell line. Cytoplasmic actin is detected with Dylight® 554 Phalloidin at 1/100 dilution (red). The nuclear counter stain is DAPI (blue).

>
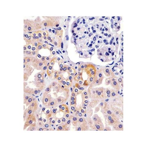
IHC: TIMP2 Mouse mAb (Ab131343)
TIMP2 Mouse mAb (Ab131343) - IHC
Immunohistochemical analysis of paraffin-embedded Human kidney section using TIMP2 Mouse mAb (Ab131343). TIMP2 Mouse mAb (Ab131343) was diluted at 1/200 dilution. A undiluted biotinylated goat polyvalent antibody was used as the secondary, followed by DAB staining.

>
IHC: TIMP2 Mouse mAb (Ab131343)
TIMP2 Mouse mAb (Ab131343) - IHC
TIMP2 Mouse mAb (Ab131343) staining TIMP2 in human kidney sections by Immunohistochemistry. Tissue was fixed with formaldehyde and blocked with 3% BSA for 0.5 hour at room temperature; antigen retrieval was by heat mediation with a citrate buffer (pH 6.0). Samples were incubated with TIMP2 Mouse mAb (Ab131343) (1/25) for 1 hours at 37°C. A undiluted biotinylated goat polyvalent antibody was used as the secondary antibody.

>
Flow Cytometry: TIMP2 Mouse mAb (Ab131343)
TIMP2 Mouse mAb (Ab131343) - Flow Cytometry
Overlay histogram showing K562 cells stained with TIMP2 Mouse mAb (Ab131343) (green line). The cells were fixed with 2% paraformaldehyde (10 min) and then permeabilized with 90% methanol for 10 min. The cells were then icubated in 2% bovine serum albumin to block non-specific protein-protein interactions followed by the TIMP2 Mouse mAb (Ab131343) (1/25 dilution) for 60 min at 37ºC. The secondary antibody used was Goat-Anti-Mouse IgG, DyLight® 488 Conjugated Highly Cross-Adsorbed at 1/400 dilution for 40 min at 37ºC. Isotype control antibody (blue line) was mouse IgG1 (1μg/1x10^6 cells) used under the same conditions. Acquisition of >10000 events was performed.
查看阿拉丁官网此产品相关对应页面:https://www.aladdin-e.com/zh_cn/Ab131343.html


