5YR企业会员
发布人:武汉艾美捷科技有限公司
发布日期:2024/11/19 15:54:04
来自NeuroMab的抗Kvbeta2 K+通道小鼠单克隆一抗是由杂交瘤克隆K17/70在内部生产的。它经过KO验证,可检测雀类、人类、小鼠、非人灵长类、大鼠和爪蟾Kvbeta2 K+通道,并通过蛋白A色谱法纯化。它非常适合在IHC、ICC、IP、WB中使用。
艾美捷NeuroMab抗Kvbeta2 K+通道抗体(K17/70):
货号 75-021
目标 Kvbeta2 K+通道
目标描述 电压门控钾通道亚基β-2或Kvβ2是由基因KCNAB2编码的。Kvβ2是钾通道、电压门控、shaker相关亚家族的成员。Kvβ2是一个细胞质亚基,它调节跨膜、形成通道的α亚基的特性。β亚基可以促进通道的关闭或根据其他通道蛋白增强通道活性。Kvβ2在大脑、小脑和朗飞结的旁节点区域表达。在肺、心脏和肾脏中也能检测到Kvβ2的表达。与KCNAB2相关的疾病包括1P36染色体缺失综合征和青少年肌萎缩侧索硬化症16。
格式 通过蛋白A色谱纯化
浓度 1 mg/mL
克隆性 单克隆
克隆 K17/70
亚型 IgG1
应用 ICC, IHC, IP, WB
宿主物种 小鼠
基因名 Kcnab2 Ckbeta2 I2rf5 Kcnb3
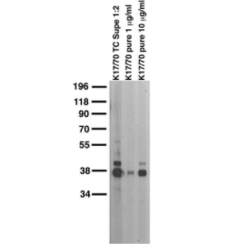
分子量 38 kDa(主要带),41 kDa(次要带)
抗原 大鼠Kv2(接入号NP_034728)的融合蛋白氨基酸1-367(全长)在大肠杆菌中重组产生
物种反应性 雀科鸟类、人类、小鼠、非人灵长类、大鼠、非洲爪蟾
储存 分装后在-20°C以下长期储存。短期储存在2-8°C。为了最大限度地恢复产品,取下盖子前先离心小瓶。
物理状态 液体
生产说明 通过体外生物反应器培养杂交瘤细胞系,然后通过蛋白A亲和色谱。纯化的单克隆抗体特异性抗体大于90%。
缓冲液 10 mM Tris, 50 mM 氯化钠,0.065% 叠氮化钠 pH 7.4
稀释范围 WB: 1:500
IHC: 1:250
ICC: 1:100
偶联物 未偶联
特异性 未报告交叉反应
质量控制 每批新抗体都通过小鼠全脑裂解物的西方印迹进行质量控制测试,并确认染色预期的分子量带。
使用说明 这些抗体作为研究实验室试剂使用,不适用于人类诊断或治疗试剂。
有效期 从收货之日起24个月
运输 冰袋运输
同义词 电压门控钾通道亚基β-2 (EC 1.1.1.-) (K(+)通道亚基β-2) (Kv-beta-2) (神经免疫蛋白F5)
UniProt详情 UniProt (人类): Q13303
UniProt (免疫原物种): P62482

成年大鼠脑膜免疫印迹。
NeuroMab 旨在构建一个新的神经元蛋白库。NeuroMab专注于研究膜蛋白(受体/通道/转运)、突触蛋白和其他神经元信号分子。随后,NeuroMab逐渐扩大了其产品线的范围,现在涵盖了神经科学和生物医学基础研究的其他领域。NeuroMab为哺乳动物大脑的生化和免疫组织化学实验提供低成本、高质量的小鼠单克隆抗体。目前NeuroMab已经开发了近500种抗体,其中许多已在小鼠脑中进行了敲除验证。
艾美捷科技是NeuroMab的中国代理商,为科研工作者提供优质的产品与服务。
相关新闻资讯