武汉恩玑生命科技有限公司
首页 产品目录 产品目录(简版) 公司动态 企业认证 联系我们

多彩的世界(基础篇)——Masson染色

发布人:武汉恩玑生命科技有限公司

发布日期:2025/11/14 14:57:31

今天来给大家科普一下Pathology(以下简称PA)里的Masson染色技术!PA的世界可不止是冰冷的显微镜和切片,还有这样一种能给组织“上色”的神奇方法,它就是Masson染色。

一、染色原理:

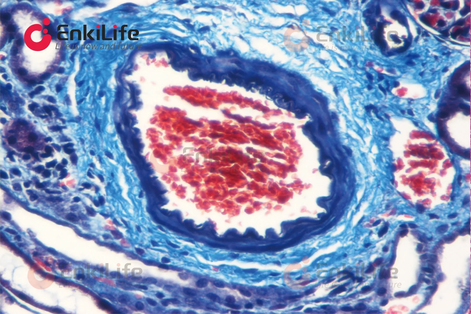
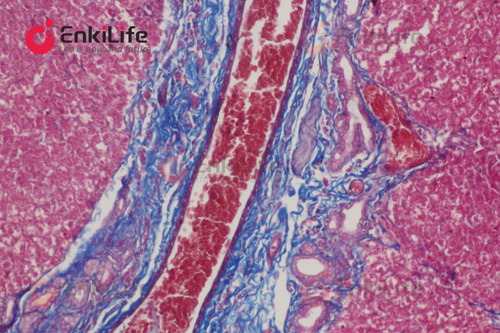
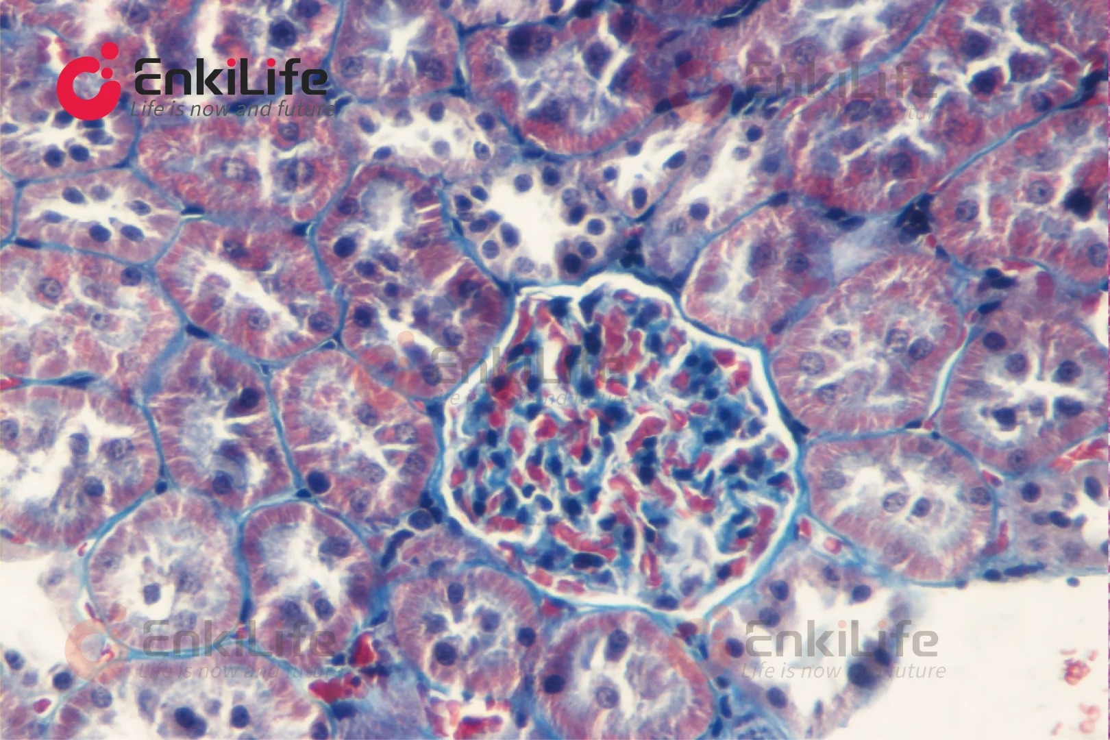
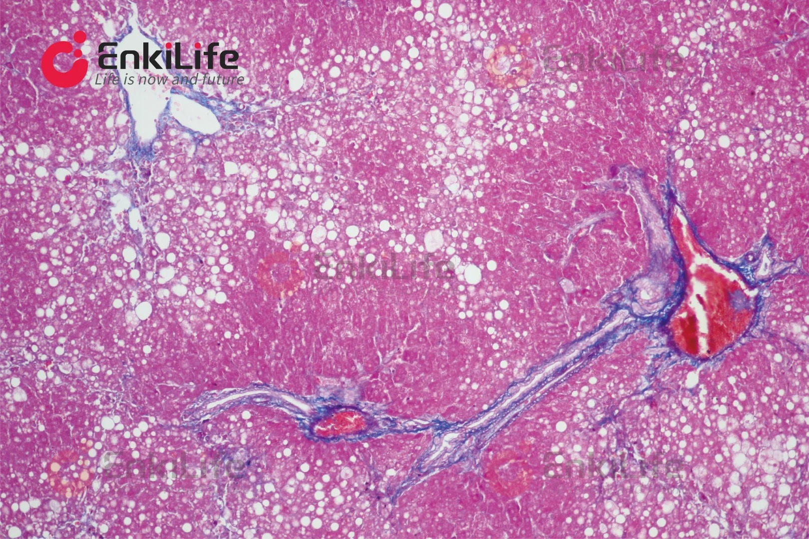
Masson染色是一种经典的结缔组织染色方法,它的原理是利用不同分子量的阴离子染料来区分组织成分。简单来说,小分子染料能钻进结构致密的组织,大分子染料则只能进入结构疏松的组织。所以,经过Masson染色后,肌纤维会被染成红色,而胶原纤维则呈现绿色或蓝色。

 

二、染色步骤:

脱蜡至水:把石蜡切片上的蜡去掉,让切片能够充分接触染色剂。

染核:用Weigert铁苏木素染色液把细胞核染成黑蓝色。

染纤维:先用丽春红品红染色液把肌纤维染成红色,再用苯胺蓝或亮绿染胶原纤维,使其呈现蓝色或绿色。

脱水透明:最后通过一系列的脱水和透明处理,让切片变得清晰可见。

 

 

三、应用范围:Masson染色可不是花架子,它在科学研究里超有用!

 

观察纤维化:像动物模型中肝-硬化、心肌-瘢痕这些模型,Masson染色能清晰地显示出胶原纤维的增生情况。

区分组织结构:在研究组织-结构时,它能帮我们清楚地区分胶原纤维和肌纤维,了解组织的细微变化。

 

 

四、染色结果解读:

 

正常-组织:染色后呈现均匀的蓝色背景,肌肉纤维和血管等结构清晰可见。

纤维化-组织:会出现明显的红色或紫色区域,这些区域代表胶原纤维的增生,是纤维化的标志。

 

 

所以说,Masson染色是不是很神奇?它就像是PA里的“色彩魔术师”,用不同的颜色帮我们看清组织里的秘密。下次看到PA切片,说不定你也能认出这是Masson染色的杰作呢!


相关新闻资讯

文献分享:锰暴露通过 cGAS-STING/ROS 调控细胞凋亡与铁死亡

2026/03/31

一、研究背景锰(Mn)是人类和哺乳动物必需的微量元素,广泛参与体内多种生理过程,包括骨骼形成、能量代谢、神经递质合成及免疫功能调节,对维持机体正常生理运转具有不可替代的作用。然而,随着工业化进程的快速推进,锰矿开采、冶金冶炼、电池生产等行业的规模化发展,导致环境中锰的暴露水平逐年升高,职业暴露与环境暴露引发的锰中毒事件频发,其环境毒性风险已成为全球关注的公共卫生热点问题。其中,锰暴露所致的神经毒性

抗体纯化用哪种?常用方法大盘点,一看就懂

2026/03/27

抗体纯化是依据抗体自身的生物学特性,如分子电荷、分子量大小、疏水性等,选择适配方法并通过多步层析技术,从复杂混合物中分离出目标抗体的过程。常用方法包括Protein A/G 亲和层析、离子交换层析、凝胶过滤层析、疏水作用层析等,可最终获得高纯度抗体。其中,亲和层析仅需一步快速捕获,通常就能满足纯度与产量要求;若需进一步去除杂质、精制抗体或其片段,可搭配其他方法深度纯化。具体纯化方案的选择,主要取决

文献解析 | TRPM4 的持续激活触发以钠超载为特征的坏死性细胞死亡

2026/03/23

这篇发表于《Nature Chemical Biology》的研究是细胞死亡领域的重要突破,首次鉴定出以钠超载为核心特征的新型程序性坏死方式 ——NECSO(Necrosis by Sodium Overload),明确了瞬时受体电位阳离子通道 TRPM4 是该过程的核心调控分子,并解析了其分子机制、物种特异性及疾病关联,同时筛选出首个 NECSO 抑制剂,为细胞死亡调控和相关疾病治疗提供了全新靶